スポーツ復帰を目指すための保存療法
アキレス腱断裂で手術をしたくないなら、保存療法
私たちはスポーツ復帰のためには保存療法をオススメします。
「傷跡」を皮膚にも内部にも残さないので、アキレス腱周囲の皮膚が突っ張らず、可動域・筋力が回復できます。
スタッフ自身がアキレス腱断裂経験者のため、
患者様の不安な気持ちを理解した上で施術を行います。
スポーツ復帰のために、アキレス腱断裂を手術しない。
東京での保存療法はご相談ください。
アキレス腱断裂のリハビリも豊富な症例
当院には、アキレス腱断裂手術後のリハビリでも相談がきます。
アキレス腱断裂後の癒着に、筋膜リリースが有効です。
足関節可動域の改善、筋力の向上など、
工夫を積み重ね、あなたのスポーツ復帰を実現します。
”あなたの足で運動ができる”まで施術します
私たちが行うのは、
”スポーツ復帰のための保存療法”
筋膜リリースと運動療法で
スポーツ復帰も早期に可能!
手術後のリハビリが不安の方も
ご相談ください。
スポーツ復帰のための「3つの強み」
私たちはアキレス腱断裂の施術で、
早期スポーツ復帰するための「3つの強み」があります。
-
① ギプス固定(保存療法)
手術とは異なり、傷跡を作らずにアキレス腱の修復ができます。
ギプスの工夫により、関節の硬さを最小にしながら、アキレス腱を回復させます。 -
② 可動域を広げる筋膜リリース
固定により起こる足首の硬さの原因は、アキレス腱周囲の癒着です。
癒着を剥がすための筋膜リリースは、マッサージなどの他院とは異なります。 -
③ 筋力を上げる運動療法
マンツーマンで行うので、
患者様の筋力や可動域の回復具合に応じて、段階的に適切な運動療法を行います。
絶対にスポーツ復帰ができる施術を目指す
固定はリハビリから逆算して行う
-
初診の固定
アキレス腱を太く回復させるために、断裂部を近づけて、つま先を下げた固定。ここで無理して90度で固定するとアキレス腱が細くなり、再断裂の危険が増える。
-
2週間後の固定
断裂部がくっついて安定してくる時期。リハビリで可動域を広げやすくするため、足首を90度に近づけて、つま先を上げて固定。固定していると癒着が進行するので、ここで角度を90°に近づける。
-
4週間後の固定
断裂部がさらに安定してくる時期。アキレス腱が伸びる足首90°で固定し、歩きやすくする。4週後からリハビリが開始し、早期に可動域を出す。
すべての患者様が1日でも早く、確実にスポーツ復帰するには、
リハビリを最短にしたい。
考え抜いて、固定を3回交換します。
実績
アキレス腱断裂後に当院で施術し、
スイム3.8km、バイク180.2km、ラン42.195km、合計距離約226kmを完走されて、IRONMANになられた患者様![]()
なんの予兆もなく突然のアキレス腱断裂。
自力で歩けない、車イス、松葉杖、全てが初めての経験。
アキレス腱は保存治療でよかったのか、手術したほうがよかったのか、ちゃんと歩けるようになるのか、走れるようになるのか、など不安な毎日。
競技復帰どころか仕事に行くのも一苦労で心が晴れない日が続いていました。某大学病院ではギブスで固定し、装具に切り替えるもアキレス腱の状態も確認しないまま、足首の固定角度をつま先立ちに近い状態から徐々に戻していくだけ。
へんなふうにアキレス腱がくっつかないか、など心配しかない。
不安でたまらずネットでアキレス腱治療について調べまくり、辿り着いたのが大木接骨院でした。
先生自身もアキレス腱断裂経験もお持ちで、何より競技に復帰したいという私の気持ちに寄り添ってくださり、エコーで丁寧に診断しながら状況を説明いただき、くっついたら固定するだけではなくて、筋膜リリースしながらしっかりリハビリするということで競技復帰までの計画をたててくださいました。
その説明を受けて不安でどんよりしていた気持ちが、前向きになりトライアスロン復帰への希望が見えた気がしました!自宅からは1時間以上かけての通院でしたが、先生がたを信じて自宅でも毎日教えていただいたリハビリに励み、計画より前倒しで装具を外すことができ、断裂から81日目に軽いランニングができるようになりました。
当初は心拍も落ちているし患部の違和感、バランスがとれないのが逆足の痛みとか苦労もありましたが、足に負担がないようスイムトレーニングで心拍強化しながらランも少しずつ距離を伸ばしていき、半年後にはショートのトライアスロンを完走、その2ヶ月後にはミドルswim1.9、bike90、run21を完走。
リハビリ以降始めたストレッチやカーフレイズを欠かさずにトレーニングを継続。
目標を以前果たせなかった海外Ironmanロングに照準を合わせ、断裂から1年半後にironmanになることができました。ゴールの時にはアキレス腱断裂で不安だったこと、大木接骨院さんとの出会いとリハビリの日々を思い出し涙が溢れました。
アキレス腱断裂で悩まれている方へ
アキレス腱断裂は突然やってきて、スポーツを真面目にやっている人にはつらい出来事ですが、しっかりとした診察とリハビリにより、元に戻る、いや、以前より強くなることができます。
私は保存治療はたまたま手術に踏み切るのことが出来なかっただけの消去法的な選択でしたが、いまはトレーニングにも全く問題なく過ごせています。
希望をもって取り組めばより強くなれますので、頑張ってください!
保存療法のメリット
スポーツ復帰のための充実したサポート
東京でのアキレス腱断裂の保存療法では、症例数多数の実績!
まずはお電話かLINEでご相談ください。
新中野駅前院|03-3382-5730- 電話受付
-
- 平日
- ~|~
- 土曜
- ~|~
- 日曜
- ~
休診日:木曜・祝日
※当院は予約優先制となっております。
-
WEB限定クーポンあり!
WEB予約 -
LINEで気軽にチャット相談
ID検索「@ohki-sk」
まずはお電話かLINEでご相談ください。
新中野駅前院|03-3382-5730- 電話受付
-
- 平日
- ~|~
- 土曜
- ~|~
- 日曜
- ~
休診日:木曜・祝日
※当院は予約優先制となっております。
-
WEB限定クーポンあり!
WEB予約 -
LINEで気軽にチャット相談
ID検索「@ohki-sk」
保存療法の流れ
-
Step1. 保存療法
断裂したアキレス腱を再生させるために足首を固定します。
アキレス腱は回復力のある組織なので、完全断裂でも心配はいりません。ギプスを工夫し、関節の硬さを少なくします。
詳細はこちら
手術と異なり、皮膚に傷跡(瘢痕:はんこん)が残らないので、リハビリ(後療法)を短くします。
-
Step2. 後療法(リハビリ)
固定により動かなくなった関節は、癒着して”硬く”なります。
筋膜リリースでは、アキレス腱周辺の癒着した組織を”はがす”ことで、早期に可動域改善を目指します。
”伸ばす”(ストレッチ)や、”もむ”(マッサージ)では改善されない「関節の硬さ」に対して施術ができます。固定により生じる筋力低下は、断裂前の筋力量の影響もあり患者様ごとで異なります。
運動療法では、一人ひとり合ったメニューで行います。リハビリで不安な方も、お気軽にご相談ください。
詳細はこちら
-
Step1.保存療法
手術にも劣らない保存療法
日本の裁判判決において、以下の説明があります。
”受傷後48時間以内の新鮮なアキレス腱皮下断裂に対する治療は,手術的療法又は保存的療法のいずれも選択可能”
2000年以前の報告では、再断裂率は手術療法の方が少ないとされていました。
北米・日本では現在も手術療法が主流となっています。近年になりイギリス・スウェーデンなどでは、手術療法に代わり保存療法が主流となってきています。
近年の報告では、「保存療法と手術療法は再断裂率は変わらない」とする報告が増えてきています。
「保存療法は手術療法に比べ、様々な合併症を減少させる」
といった保存療法の長所も報告されています。最新の報告では、手術と保存療法のどちらを選んでも、
12ヶ月後の状態に差はありません。瘢痕(傷跡)がないので可動域を確保し、最短でスポーツ復帰
手術では必ず皮膚を切ります。
切った部分は手術跡(瘢痕:はんこん)となり、皮膚が硬くなり可動域を制限します。
瘢痕は皮膚表面だけではなく、内部のアキレス腱周囲にも生じます。だから、傷口を作らない保存療法がオススメなのです
傷口は繊維組織というもので接着剤のようにして傷口を塞ぎ、
その際に皮膚や皮下の組織がくっつき合ってしまいます。つまり、手術跡は可動域を制限する大きな原因となります。
一方、保存療法で手術跡は残りません。
手術跡がない分、可動域は出やすいです。スポーツ復帰には保存療法で「傷跡なし」が大切。
大木接骨院なら東京で保存療法ができます。アキレス腱断裂で保存療法を選んだスタッフ2名
スタッフ2名は保存療法を選び、
スポーツ復帰してます。-
断裂したスタッフ1院長 大木正浩
-
2016年8月 左アキレス腱断裂
-
勤務先の専門学校のバスケットボール大会に学生と出場するために、体力つけようと仕事後の23時位から走り込みを1ヶ月行う。
思い返すとこのときにアキレス腱を触ると痛みがあり、断裂の前兆であるアキレス腱炎でした。
疲労を蓄積したまま、バスケットボール大会では5試合連続出場。
左足を後ろに引いて荷重した瞬間に断裂。
-
-
断裂したスタッフ2木村輝稀
-
2019年4月 右アキレス腱断裂
-
今まで週1程度で続けていた趣味のバスケットボールをGWの連休で3日間続けてプレーしていた。
ダッシュをしようと右足で地面を蹴った瞬間にアキレス腱を断裂。
-
仕事しながらアキレス腱断裂の施術
私たちはアキレス腱の固定をしながら勤務を続けました。
保存療法では入院する必要はありません。
患部をしっかりと固定するので、ある程度動いても悪影響はありません。
仕事を休まなくても施術は可能です。※本来アキレス腱にストレスをかけないために1ヶ月間は安静にしておくことが推奨されます。
仕事を休むかどうかは、ご本人の優先順位の問題です。
休む方が良いですが、休めない人もいます。松葉杖を使いながら歩行もできるので
電車での通勤もなら可能です。
1時間遅く出社できれば、ラッシュが避けられ移動の負担はかなり少ないです。スタッフも選ぶ保存療法
自分たちが売っているものがどれほどの価値があるのかは、売っている本人たちが一番わかっているものです。
例えば、スーパーでお寿司を売っているスタッフたちが、ここで売っているお寿司が一番美味しいと感じているのならば他のお寿司屋さんに行くことはなく勤務先で買うでしょう。
大木接骨院も同じです。
本当に安心することができて、自信のあるものを提供できているから、自分たちがアキレス腱断裂をしたときは保存療法を選びました。
整形外科が増える以前、多くのアキレス腱断裂患者は、
接骨院にて保存療法で施術を受けていました。
その技術は今も受け継がれ、信頼に足るものがあると私たちは感じています。もしこのページを見てアキレス腱断裂に不安を感じているあなた。
ぜひ、私たちにお任せ下さい。
元アキレス腱断裂患者の6年後の動きです。お時間許せば、ご鑑賞ください。
-
-
Step2.後療法(リハビリ)
アキレス腱を修復するためには固定が必要ですが、2つの問題が生じます
- 1.足首が硬くなる
- 2.筋力が低下する
足首の硬さを取る「筋膜リリース」
「足首の硬さ」はアキレス腱周囲の組織が癒着することで起きます。
筋膜リリースは”はがす”技術のため、
癒着を”はがす”ことで可動域改善に役立ちます。手術による傷跡は組織が再生し連続するため、”はがす”ことができません。
保存療法を選んだ、私たちスタッフ2名はアキレス断裂前と同じように、スポーツを全力で楽しめています。
下の動画は、木村のアキレス腱を大木が筋膜リリースしているところです。
無理なく筋力を戻す「運動療法」
アキレス腱断裂後のリハビリで必発するのが、「踵(かかと)の痛み」です。
筋力低下により歩き方が悪くなっていることが原因です。このように、リハビリ期間では動作が悪くなることで、様々な問題が出るのです。
運動療法で段階的に筋力を向上しながら、同時に日常生活動作を変えます。
6ヶ月を目標に日常動作を良くし、
段階的にスポーツ復帰をします。他院でリハビリに疑問があれば、私たちに相談ください。
東京・埼玉・神奈川から、遠く北海道からも、ご来院がありました。-
ヒールレイズ(踵上げ)
-
歩行(固定除去後〜小走り可)
保存療法の経過
この経過目安は、スタッフ木村の体験をもとに作成しているため全てのアキレス腱断裂例に当てはまるものではありません。
運動習慣等によって経過には個人差があるため目安の1つとしてお読みください。
-
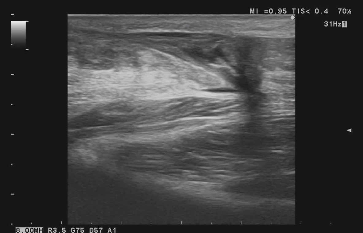
1日目
超音波で断裂部の確認 1日目
患部がどの程度断裂しているかを評価します。
完全断裂では、つま先を下げるように固定角度を強くします。
また、固定期間などの施術スケジュールも大まかに判断します。 -
1日目
アキレス腱再生のために固定 1日目
患部を安静にしアキレス腱の再生を促すために、ギプス固定を行います。
その際、足首の角度はつまさきを最大限伸ばした状態(最大底屈位)にしてアキレス腱を元の長さと同じように治すようにします。
完全断裂か部分断裂かどうかで固定する範囲、強度を変えます。
できる限り小さい固定にし、日常生活を制限しないようにします。
しかし、安易に日常生活を不便にしないように小さな固定にすると、つま先立ちができないなどの後遺症が残ります。 -
2日目〜約2週間
固定の継続 2日目〜約2週間
かかとの下にゴムが付いていて、多少不自由ながらも荷重しながら日常生活は行えます。
ただし、この期間は松葉杖を補助的に使っての生活になります。
通勤・通学は可能です。手術と異なり入院はしません。
足首が動かせない状態なのでむくみが出てきます。
足を高く上げる時間を増やしたり、指先を動かすことで対処します。 -
約2週間後〜
足首の角度を変更し再固定 約2週間後〜
足首を強く伸ばした状態で長期に固定するとそのままの状態で足首が硬くなります。
そのためギプスを取り外し、再度足首の角度をゆるくして再固定します。
ふくらはぎの筋力が低下し細くなっていたり、断裂時の出血がたまっていることが多いです。
その際ににアキレス腱の様子を確認します。
この段階で順調にアキレス腱がくっついているかを超音波検査で確認した後、足首に少し角度をつけて再びギプス固定を行います。 -
3週間〜4週間目
足首の固定角度を直角にする 3週間〜4週間目
患部の状態を検査した上で必要であれば、足首が90°になるようなギプスを作り、上から包帯で固定します。
ここまで足首が曲がるようなれば生活はかなり楽になり、松葉杖なしでも歩けるようになります。
なるべく毎日包帯の交換を行うようにして衛生環境を良い状態に保ちます。
通院時には包帯交換のタイミングで筋膜リリースと運動療法を行い、少しずつリハビリを開始していきます。 -
1ヶ月後〜
リハビリ本格的に開始 1ヶ月後〜
ギプス固定を外して、包帯固定またはサポーターに切り替えて生活をします。
固定か外れると開放的な気持ちになるため、ついつい無理をしてしまい、再断裂をしてしまうケースがあります。
まだまだアキレス腱の強度は回復しきっていないので注意して生活することとリハビリをしっかりと行うことが必要になります。
手技によって可動域を出すこととつま先立ちの運動で、ふくらはぎを鍛えることが主なリハビリ内容になります。 -
2ヶ月〜5ヶ月
運動強度を上げていく 2ヶ月〜5ヶ月
2ヶ月ほど経過すると包帯やサポーター無しでも歩いたりすることは出来るようになってきますが、まだ固さと筋力低下は残存していることが多く、走ったりジャンプをしたりするのは難しいです。
3〜4ヶ月経過すると日常生活レベルでは不自由がなくなり走ったりすることも可能になってくるため、運動習慣を取り戻すことが重要になります。 -
6ヶ月〜
段階的にスポーツ復帰 6ヶ月〜
半年程経過するとスポーツ復帰の時期と言われています。
競技特性や頻度にもよりますが、いきなり全力で動こうとすると不安感や足首の固さ、筋力の弱さを実感すると思います。
また、アキレス腱断裂による長い固定期間により体の使い方は変化が起きている場合があります。そのため、1年以上かけて以前のような動きを取り戻していくものと考えた方が良いと思います。
料金
保険適用では、筋挫傷という料金しか該当せず、固定やリハビリも料金不足で十分な施術ができません。
”スポーツ復帰”をゴールとする当院の保存療法では、保険外施術で十分な固定とリハビリを実施します。
-
step1.保存療法(1~4週)
当院では固定を3回(初回、2週後、4週後)変更します。
- 初回固定
- 18,810円(税込)
- カウンセリング、超音波画像検査、ギプス固定(初回ギプス)、LINEあんしんサポート(4週分) を含む
- 2回目固定
- 19,310円(税込)
- <2週後~>カウンセリング、超音波画像検査、ギプスカット、ギプス固定( 2週間後ギプス変更 ) を含む
- 3回目固定
- 18,310円(税込)
- <4週後~>カウンセリング、超音波画像検査、ギプスカット、ギプス固定(4週間後ギプス変更) を含む
- 松葉杖(貸出)
- 3,300円(税込)
- 1日110円が使用料としてかかります。預り金3,300円を上限とし、松葉杖の返却時に使用料を精算します。
固定を3回変更する理由
初回固定は、腱の長さを適正にするため断裂部を近づける”つま先立ち”状態で足首を固定します。
2回目の固定は、患部の組織が再生し始めるので、関節が硬くなる前に正常に近い直角位で足首を固定します。
3回目の固定は、取外し可能な固定にしてリハビリを開始し関節の硬さを防ぎ、かつ再断裂が多いこの時期に、固定を継続し再断裂を防ぎます。
-
step2.リハビリ(5週~)
5~8週目まで週3回のアキレス腱断裂のリハビリを開始します。
通常は9週目より週2回のリハビリとなります。- アキレス腱リリース週3 プラン(5~8週)
- 37,320円(税込)
- <軽いリハビリ>超音波画像検査、動作検査、軽度な筋膜リリース・運動療法(週3回/4週間分) を含む
- アキレス腱リリース週2 プラン(9~12週)
- 36,950円(税込)
- <しっかりリハビリ>超音波画像検査、動作検査、筋膜リリース・運動療法(週2回/4週間分) を含む
早期スポーツ復帰のために週3回
リハビリ初期に週3回の頻度で、筋膜リリースを行うことが、早期にスポーツ復帰をするために重要です。
固定期間中に足首に”癒着(ゆちゃく)”が生じ、それを早期にリリースする必要があるからです。
固定により足関節の可動域と筋力の低下が日々進行します。
早期にスポーツ復帰をするためには、アキレス腱の再生が進んだら、できる限り早くリハビリに入り、可動域と筋力を回復させます。
「癒着により動かない、動かないから筋力もつかない」という状態になる前に、早期に筋膜リリースを行うことが重要です。一方で、早期のリハビリは断裂のリスクもあります。
その点を十分考慮し、軽いリハビリを高頻度(週3)で行うこととしました。週3回の通院が難しいようでしたら、症状を踏まえ相談していきます。
以後4週間毎に、超音波画像検査で状態を確認し、施術者がベストな通院頻度をご提案します。
可動域・筋力の回復が順調なら週2回の通院になります。癒着をはがす筋膜リリース
癒着とは、足関節周囲のすべての組織(筋肉・腱・靭帯・神経・関節包など)が、足首周りの腫れによりくっつくことで足首の動きを邪魔をします。
私たちはそれを筋膜リリースという特殊な技術で解決します。
指で”はがす”筋膜リリースは、高い技術と人体に対する知識が必要で、行っているのは東京といえども数少ないです。
ステンレスナイフでこすったり、ストレッチやマッサージとは、以下の点で根本的に異なります。- 指ではがれているのを感じ、確認しながら行える
- 表面だけでなく深部の癒着までリリースする
- 狙ったポイントを指一本分の精度ではがす
アキレス腱断裂の症例
当院には、大宮や川崎など東京都外からも来院します。
アキレス腱断裂直後だけでなく、手術後のリハビリで不安になり通院されている患者様も多いです。
-
さいたま市の患者様
K様
主婦
日常的にマラソンや水泳をしていて運動には自信があったが、バスケットボール中に負傷。
近医にて受診するも、説明も少なく手術と断定されたことが不安に感じ、インターネットで当院を知る。受傷3日後に通院されました。
アキレス腱断端が接するように、つま先の下がっている角度でギプスで固定します。
遠方より通院した結果、6ヶ月後にバスケットボールを開始できました!
-
-
東京都内の患者様
T様
IT企業勤務
通勤中の電車乗り換えで階段を踏み外し、断裂する。
その駅の近医に急いで受診するも、固定方法などに疑問があり、当院へ転院となる。5週間程度経過した後に当院受診する。
超音波観察にて患部を確認し、当院にて再固定。約5ヶ月後に可動域・筋力ともに日常生活に支障がなくなり施術終了となりました。
-
症例紹介ブログ
アキレス腱断裂直後だけでなく、リハビリからでもご相談ください。
足関節可動域の改善のため後療法から通院される患者様も多いです。
私たちが不安だったように、
突然のアキレス腱断裂で、あなたも大変に不安になっていると思います。
当院では、不安な気持ちに寄り添い
保存療法でアキレス腱断裂を施術できる数少ない接骨院です。
東京で保存療法なら、ぜひご相談ください!!
Q&A
- 他院で手術と言われたが、保存療法で治せますか?
-
施術可能です。
実際に当院では多くのアキレス腱断裂の患者様を保存療法で施術してきました。
現在、北米と日本では手術療法が主流となっていますが、
イギリス・スウェーデンなどでは保存療法が主流となっています。- 参考文献)
- A. M. Hutchison(2015)”The treatment of a rupture of the Achilles tendon using a dedicated management programme“
- Tuomas T. Huttunen(2014)”Acute Achilles Tendon Ruptures: Incidence of Injury and Surgery in Sweden Between 2001 and 2012“
- 固定の期間はどのくらいになりますか?
-
標準では5週間になります。
最初は断裂端が接するようにつま先を下げて2週間固定し、関節拘縮を防ぐために角度を変えて再度2週間固定します。
5週目に、ふくらはぎ後面の板状ギプスを行います。 - 通院頻度はどのくらいになりますか?
-
ギプス固定期間はギプス変更の2週後、4週後の2回通院し、
5週目からはリハビリが開始するため、
週3回の通院をおススメします。 - リハビリはなぜ必要なのですか?
-
長い期間固定をすると関節が硬くなり、歩き方も悪く変化します。
日常生活やスポーツ復帰をする方には硬さをとる必要があります。 - 仕事はいつから復帰できますか?
-
ヒール付きのギプスは軽いので、松葉杖を使えば、通勤は可能です。
立ち仕事では、できるだけ動かないように工夫する必要があります。
症状を考慮し、相談して決めます。 - 保存療法で本当に大丈夫ですか?
-
以前は手術療法が主流でしたが、近年は再断裂率に差はないという論文が増えています。
世界(イギリスなど)でも保存療法での施術を行うことが増えており、
エリートスポーツ選手(国代表、プロレベル)でも、保存療法を選択しています。- 参考文献)
- A. M. Hutchison(2015)”The treatment of a rupture of the Achilles tendon using a dedicated management programme“
- Tuomas T. Huttunen(2014)”Acute Achilles Tendon Ruptures: Incidence of Injury and Surgery in Sweden Between 2001 and 2012“
-
「保存療法は手術療法に比べ再発率は変わらず、様々な合併症を減少させる」
とする論文まであります。- 参考文献)
- Seung-Hwan Park(2020)”Treatment of Acute Achilles Tendon Rupture“
- J F Keating(2011)”Operative versus non-operative treatment of acute rupture of tendo Achillis: a prospective randomised evaluation of functional outcome“
-
日本では整形外科が増え、手術療法が主流となりましたが、
それ以前は接骨院で数多く保存療法が行われてきました。
その技術を受け継ぐので、当院の施術スタッフ2名もアキレス腱断裂を
保存療法で施術し、スポーツ復帰を果たしております。 - 入院は必要ですか?
- 当院の保存療法を行うなら必要ありません。
- 保存療法の後遺症はありますか?
- アキレス腱が少し太くなるだけで、スポーツも日常生活でも問題はありません。
- 保存療法は再断裂率が高くなりますか?
-
手術療法と保存療法の再断裂率は、
統計的な有意差はないという研究が報告されています。 - 当院ではアキレス腱の強度が一番弱くなる2~3ヶ月目を、
工夫して施術し、再断裂リスクを減少させます。 - スポーツ復帰したら元のように動けますか?
-
当院ではおよそ6ヶ月ほどでスポーツ復帰をします。
個人差はありますが受傷後1年以内にはかなりの運動ができます。 -
アキレス腱断裂した当院の施術スタッフ2名は、
バスケットボールとテニスを受傷前と同じ強度・量で運動しています。
アキレス腱断裂は突然起こります。
そして、断裂直後に不安の崖に突き落とされるのです。
私たちスタッフ2名も同じ経験をしました。
このページをご覧になってくれた方は、ぜひ大木接骨院へお任せ下さい。
私たちは、患者様のお役に立てるよう考え続け、数々の工夫を行い、皆様の身体の問題を解決できるように準備しています。
もしどうしても骨・筋肉・関節の痛みにお困りでしたら、私たちにご相談ください。
ご不明な点や疑問がありましたら、よくあるご質問(FAQ)もご参照下さい。
何かご不明な点がございましたら、当院までお問い合わせ下さい。
- お電話|03-3382-5730
-
WEB限定クーポンあり!
WEB予約 -
LINEで気軽にチャット相談
ID検索「@ohki-sk」
東京でアキレス腱断裂の保存療法なら大木接骨院 新中野駅前院
